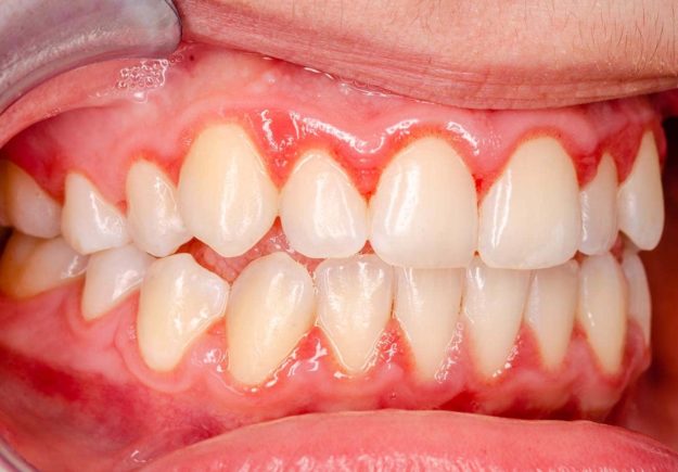
What Is Gingivitis? Your Guide To Your Gums
What is gingivitis? It’s a common question. It’s one of the leading causes of gum pain, discomfort, and bleeding. This kind of gum disease can lead to a host of other issues, too. In order to avoid and treat gum problems, it’s important to learn more about the causes and treatments available for this gum…




